こんにちは、歯科衛生士の高木です😁
今回はホワイトニングについてお話しします🦷
ホワイトニングとは、歯を削らずに白くする方法です。
ホワイトニングは医療ホワイトニングと非医療ホワイトニングに分けられます⚠️
<医療ホワイトニング>
・歯科医療機関で歯科医師や歯科衛生士が医療機器製品を用いて行うホワイトニング
・過酸化水素や過酸化尿素含有製品や光照射機を用いる
・歯の表面の着色汚れとその内部に沈着した色素を分解する
<非医療ホワイトニング>
・セルフホワイトニング専門店、美容室、ネイルサロン、エステサロン、ご自宅などで化粧品当該品やホワイトニング歯磨き粉などを用いて行うホワイトニング
・歯の表面の着色を除去する
歯科医院で行なっているホワイトニングは医療ホワイトニングに分類されます。
また、医療ホワイトニングの中でもオフィスホワイトニングとホームホワイトニングがあります。
<オフィスホワイトニング🏥>
専用の薬剤とライトを使って歯科医院で行うホワイトニングです。
高濃度の薬剤を使用して行うホワイトニングで、1度の施術で効果が期待できます。
・メリット:短期間でホワイトニングができる 歯科医師が管理しやすい
・デメリット:診療室での施術時間が長い
<ホームホワイトニング🏠>
患者さんが自宅で行うホワイトニングです。
専用のマウスピースを作成し、ホワイトニング用の薬剤を入れ、一定期間装着することで効果が期待できます。
・メリット:診療室での施術が短時間 自分のペースで行える
・デメリット:自宅で行うため、歯科医師が管理しにくい
また、当院ではホームホワイトニングを2種類から選ぶことができます。
患者さんのライフスタイルに合わせてお選びいただいています❗️

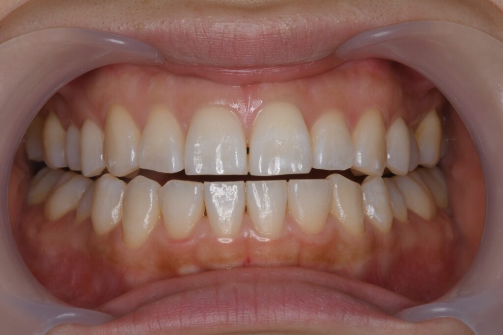
*こちらは当院のスタッフがオフィスホワイトニングを行なった術前後の写真です
ただし、未成年や妊娠中、授乳中の方や口腔内の状態によってはホワイトニングを受けられない場合もありますので歯科医師、歯科衛生士までご相談ください👀

歯科衛生士 高木梨衣












