こんにちは!歯科医師の本澤潤一です🔥
本日はインプラント治療について説明します📖
「歯を失ったらどうなるのだろう?」と不安に思う方は少なくありません😞
噛みにくさや見た目の変化は、食事や会話、笑顔に影響します。そんなときにはいくつかの治療法があり、その中の一つがインプラント治療です。
インプラントとは失った歯の部分にチタン製の人工歯根を埋め込み、その上にかぶせ物を装着する治療です。

<インプラント治療のメリット>
・しっかり噛める:天然の歯に近い感覚
・見た目が自然である
・周囲の歯を削らずに済む
<インプラント治療のデメリット>
・外科処置が必要
・自由診療である(33万円~)
・治療期間がかかる(4か月~)


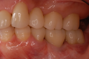
*この患者さんは奥から2番目をインプラント治療しています
<他の治療との違い>
・ブリッジ → 固定式で違和感は少ないが、隣の歯を削る必要がある
・入れ歯 → 歯を大きく削る必要はないが、取り外しが必要
<注意点とメインテナンス>
インプラントは外科手術を伴うため、全ての方に適応できるわけではありません。治療後は歯周病と同じように「インプラント周囲炎」のリスクがあるため、ご自宅での丁寧な歯磨きや定期的な歯科医院でのメインテナンスが欠かせません⚠️
治療を検討される際は、ブリッジや入れ歯とあわせて、ライフスタイルやお口の状態、患者さんに合った方法を選ぶことが大切です⭕️
気になる点がございましたらお気軽にお問い合わせください❗️
歯科医師 本澤潤一













